|
|
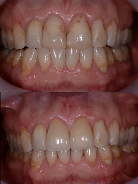
VeneerIn dentistry, a veneer is a layer of material placed over a tooth, either to improve the aesthetics of the tooth or to protect the tooth's surface from damage. There are two main types of material used to fabricate a veneer: composite and dental porcelain. A composite veneer may be directly placed (built-up in the mouth), or indirectly fabricated by a dental technician in a dental laboratory. The fabricated veneer is later bonded to the tooth, typically with a resin cement such as Panavia. In contrast, a porcelain veneer may only be indirectly fabricated. |
|
Before |
| After |
|