|
|
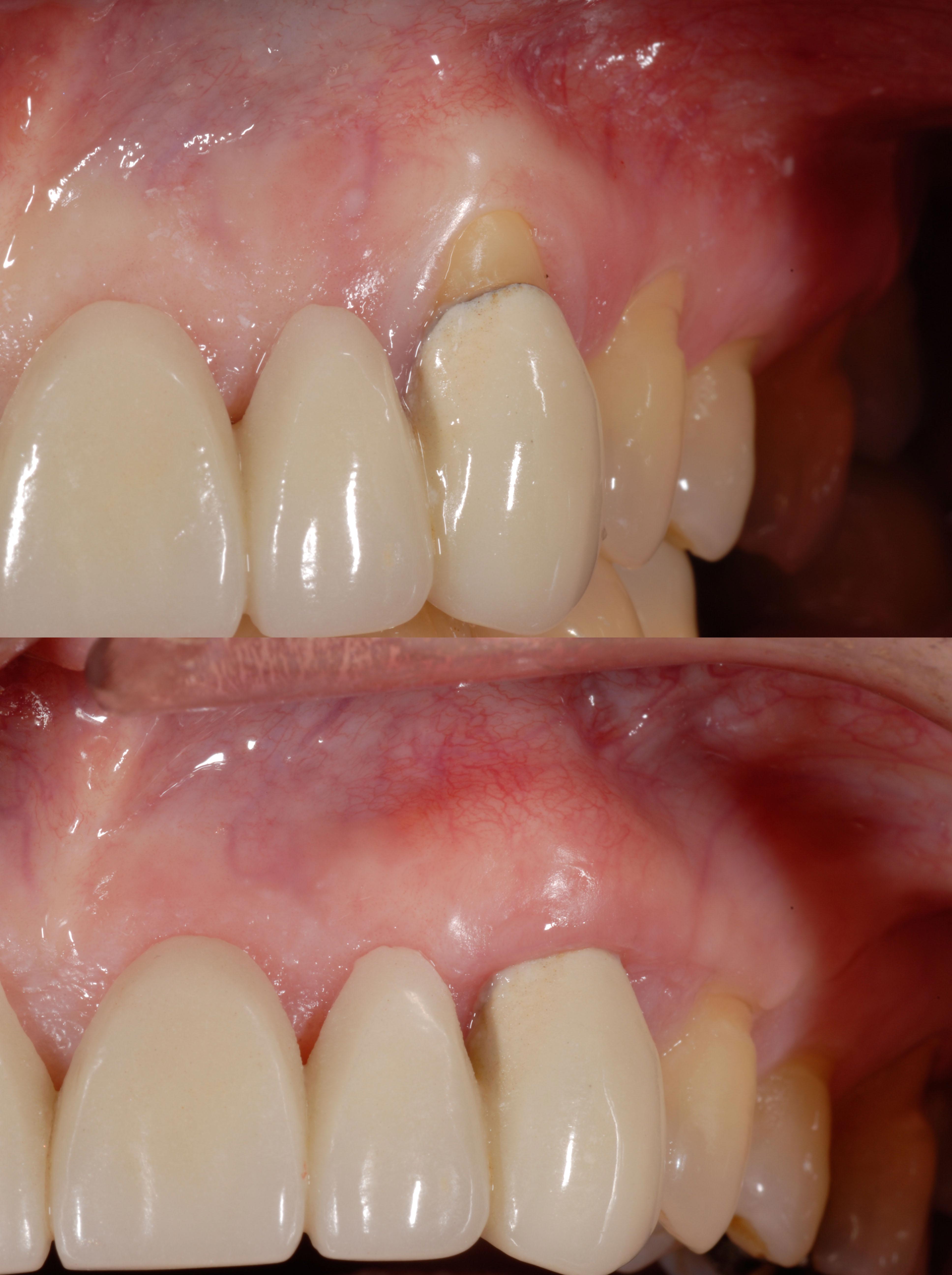
Gum TreatmentPeriodontal diseases are a group of diseases that affects one or more types of periodontal tissues/structures (e.g. alveolar bone, periodontal ligament, cementum and gingiva). While there are many different diseases that affect tooth-supporting tissues/structures, by far the most common ones are the plaque-induced inflammatory conditions, such as gingivitis and periodontitis. Often the term periodontal disease or gum disease is used as a synonym for periodontitis, specifically chronic periodontitis. |
|
Before |
| After |
|