|
|
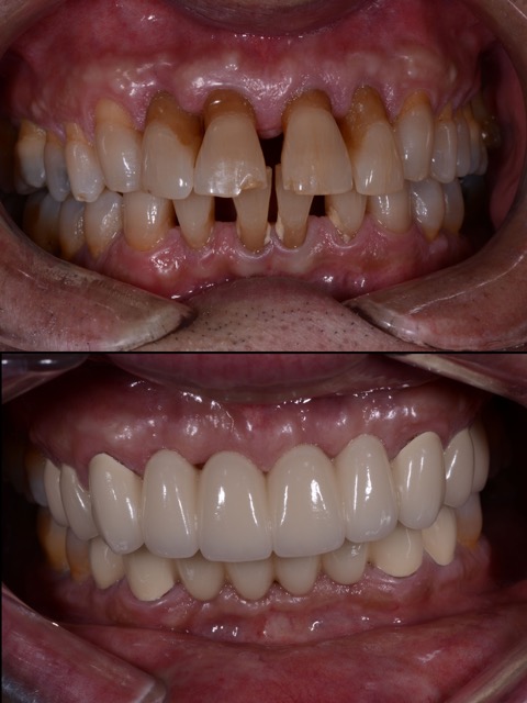
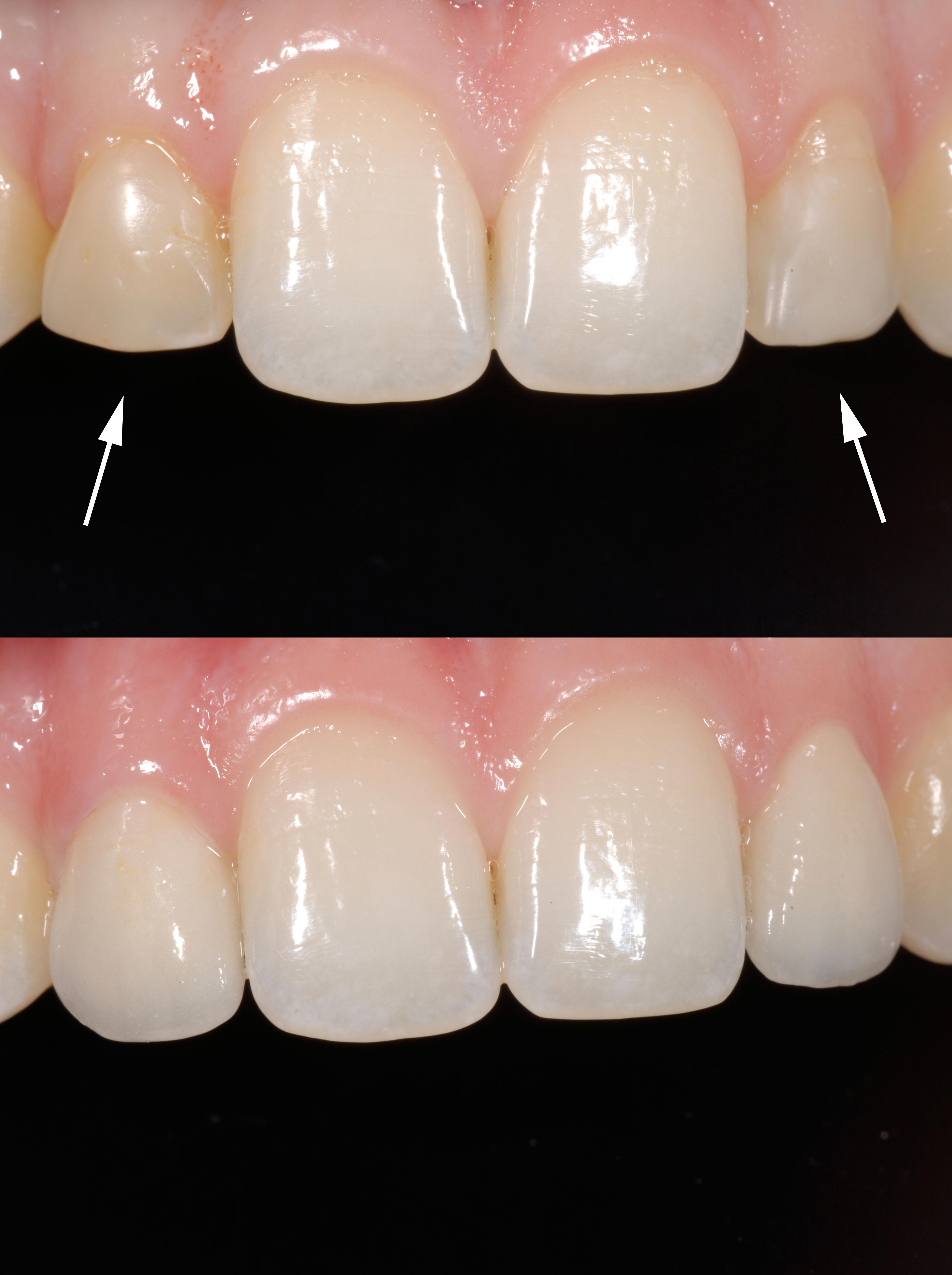
CrownIn dentistry, crown refers to the anatomical area of teeth, usually covered by enamel. The crown is usually visible in the mouth after developing below the gingiva and then erupting into place. If part of the tooth gets chipped or broken, a dentist can apply an artificial crown. There are various materials that can be used including a type of cement or stainless steel. The cement crowns look like regular teeth while the stainless steel crowns are silver or gold.
|
|
Before |
| After |
BridgeA bridge is made up of two or more crowns for the anchoring teeth on both sides of the gap and one or more false teeth in between. The anchoring teeth are also called abutment teeth.
|
|
Before |
| After |
|